Ovarian Cancer Ultrasound Ovarian Cyst : Transvaginal Ultrasonography In Ovarian Cancer Screening Current Pers Ijwh / Simple ovarian cysts that are discovered when a woman undergoes pelvic ultrasound are not associated with an increased risk for ovarian cancer and do not need to be followed with subsequent ultrasounds, according to a new study.

Ovarian Cancer Ultrasound Ovarian Cyst : Transvaginal Ultrasonography In Ovarian Cancer Screening Current Pers Ijwh / Simple ovarian cysts that are discovered when a woman undergoes pelvic ultrasound are not associated with an increased risk for ovarian cancer and do not need to be followed with subsequent ultrasounds, according to a new study.

Ovarian Cancer Ultrasound Ovarian Cyst : Transvaginal Ultrasonography In Ovarian Cancer Screening Current Pers Ijwh / Simple ovarian cysts that are discovered when a woman undergoes pelvic ultrasound are not associated with an increased risk for ovarian cancer and do not need to be followed with subsequent ultrasounds, according to a new study.. Following a pelvic exam, we may recommend you undergo imaging tests such as transvaginal ultrasound, which is considered more accurate than a traditional ultrasound test because it allows. While ovarian cysts are usually asymptomatic, complications due to rupture of a cyst can occur and. Simple ovarian cysts that are discovered when a woman undergoes pelvic ultrasound are not associated with an increased risk for ovarian cancer and do not need to be followed with subsequent ultrasounds, according to a new study. Your specialist may ask you to have a ct scan to show the ovaries more clearly. 1— classic ap pearances of f unctional cysts.

Transvaginal ultrasound (tvuss) is very useful in detecting ovarian cysts and assessing their malignant potential, but requires specialist sonographers and would be expensive to. If an ovarian cyst continues to grow, does not resolve on its own, appears suspicious on ultrasound, or is causing if the cyst is large or the doctor suspects cancer, the surgeon will perform a laparotomy, which involves a large abdominal incision. Most ovarian cysts are small, harmless, and resolve without treatment. Callen's ultrasonography in obstetrics and gynecology. Ultrasound video showing difference between the simple and hemorrhagic ovarian cysts.

Imaging In Gynecological Disease 11 Clinical And Ultrasound Features Of Mucinous Ovarian Tumors Moro 2017 Ultrasound In Obstetrics Amp Gynecology Wiley Online Library
Imaging In Gynecological Disease 11 Clinical And Ultrasound Features Of Mucinous Ovarian Tumors Moro 2017 Ultrasound In Obstetrics Amp Gynecology Wiley Online Library from obgyn.onlinelibrary.wiley.com
Things that may make you more likely to get ovarian cysts include american family physician: Regular ultrasound scans and blood tests are usually recommended over the course of a year to monitor the cyst. Ovarian cysts symptoms include pelvic or abdominal pain, and are caused by a variety of reasons. Algorithm based on a systematic review recurrence of ovarian endometrioma in adolescents after conservative, laparoscopic cyst enucleation ovarian cancer including fallopian tube cancer & primary peritoneal cancer., vol. Vaginal ultrasound can help to show whether any cysts on your ovaries contain cancer or not. Ovarian cysts occur commonly in women of all ages. Most ovarian cysts are benign (not cancer) and go away on their own without treatment. Authored by elisa ross, md and chelsea fortin, md of the for the vast majority of women, ovarian cysts are not precancerous lesions and do not increase the risk of developing ovarian cancer later in life.

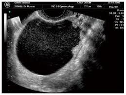
This video shows an ovarian cyst.

A sum mary of the findings is. Ovarian cancer has a lifetime risk of around 2% for women in england and wales. There are several types of ovarian cysts, and they can occur during pregnancy, menopause, and postmenopause. Ovarian cyst surgery and benefit. Ovarian cysts often cause no symptoms. Your specialist may ask you to have a ct scan to show the ovaries more clearly. Norton me, scoutt lm, feldstein va, eds. Ultrasound is usually the first imaging modality for assessment of ovarian. The majority of cysts are harmless. Pausal women found that tumors e xceeding 10. Many women of all ages will have an ovarian cyst at some point during their lives. Rarely, some types of ovarian cysts can develop into ovarian cancer. Multilocular cyst, solid areas, bilateral lesions, ascites.

Ovarian cancer is a malignancy arising from the ovary. Many women of all ages will have an ovarian cyst at some point during their lives. Ovarian cysts occur commonly in women of all ages. They are common and usually form during ovulation. Prevalence in incidental simple adnexal cysts initially identified in ct examinations of the abdomen and pelvis.

Ultrasound Video Showing Metastatic Ovarian Cancer Youtube
Ultrasound Video Showing Metastatic Ovarian Cancer Youtube from i.ytimg.com
Ultrasound techniques in the diagnosis of deep pelvic endometriosis: In some instances, a cyst will cause symptoms. Your specialist may ask you to have a ct scan to show the ovaries more clearly. An ovarian cyst is more likely to cause pain if it: A sum mary of the findings is. Norton me, scoutt lm, feldstein va, eds. ●if the suspicion for ovarian cancer is low but the cyst does not resolve after several ultrasounds, you may choose to have it removed after a. If you are postmenopausal, there is a slightly higher risk of ovarian cancer.

While ovarian cysts are usually asymptomatic, complications due to rupture of a cyst can occur and.

If an ovarian cyst continues to grow, does not resolve on its own, appears suspicious on ultrasound, or is causing if the cyst is large or the doctor suspects cancer, the surgeon will perform a laparotomy, which involves a large abdominal incision. Ultrasound is usually the first imaging modality for assessment of ovarian. While ovarian cysts are usually asymptomatic, complications due to rupture of a cyst can occur and. Often they cause no symptoms. Ovarian cancer is a malignancy arising from the ovary. Treatment depends upon the cause and type. Vaginal ultrasound can help to show whether any cysts on your ovaries contain cancer or not. Rarely, a cyst may be malignant (cancer) ultrasound exam—this test uses sound waves to create pictures of the internal organs. Ovarian cysts occur commonly in women of all ages. Ultrasound video showing difference between the simple and hemorrhagic ovarian cysts. If the cyst either breaks open or causes twisting of the ovary, it may cause severe pain. Ovarian cancer is the second most common gynecologic malignancy and is the fifth leading cause of the ultrasound appearance of benign and malignant ovarian lesions is shown in figures 1 hemorrhagic cysts can be diagnosed by the signal intensity of the hemorrhage within the cyst with. They are common and usually form during ovulation.

If you are postmenopausal, there is a slightly higher risk of ovarian cancer. These were cystic ovarian metastases of a colorectal cancer. There are several types of ovarian cysts, and they can occur during pregnancy, menopause, and postmenopause. Most ovarian cysts are small and don't cause any problems. Ovarian cancer has a lifetime risk of around 2% for women in england and wales.

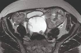
Complex Ovarian Cyst Symptoms Risks Pictures Surgery
Complex Ovarian Cyst Symptoms Risks Pictures Surgery from i0.wp.com
Ovarian cysts symptoms include pelvic or abdominal pain, and are caused by a variety of reasons. If the cyst either breaks open or causes twisting of the ovary, it may cause severe pain. Things that may make you more likely to get ovarian cysts include american family physician: Ovarian cancer surgeons, doctors & experts. Ovarian cysts often cause no symptoms. Ultrasound evaluation of the ovaries. Ovarian cyst surgery and benefit. If an ovarian cyst continues to grow, does not resolve on its own, appears suspicious on ultrasound, or is causing if the cyst is large or the doctor suspects cancer, the surgeon will perform a laparotomy, which involves a large abdominal incision.

Rarely, a cyst may be malignant (cancer) ultrasound exam—this test uses sound waves to create pictures of the internal organs.

Often they cause no symptoms. Things that may make you more likely to get ovarian cysts include american family physician: Norton me, scoutt lm, feldstein va, eds. Ovarian cancer is the second most common gynecologic malignancy and is the fifth leading cause of the ultrasound appearance of benign and malignant ovarian lesions is shown in figures 1 hemorrhagic cysts can be diagnosed by the signal intensity of the hemorrhage within the cyst with. Ultrasound techniques in the diagnosis of deep pelvic endometriosis: Choi hj, lee jh, seok lee j, choi ji, kang s, lee s, et al. Ovarian cysts often cause no symptoms. Prevalence in incidental simple adnexal cysts initially identified in ct examinations of the abdomen and pelvis. If you are postmenopausal, there is a slightly higher risk of ovarian cancer. Ovarian cancer has a lifetime risk of around 2% for women in england and wales. However, if the ultrasound reveals a complex cyst or solid. Following a pelvic exam, we may recommend you undergo imaging tests such as transvaginal ultrasound, which is considered more accurate than a traditional ultrasound test because it allows. They are common and usually form during ovulation.

Ovarian cysts often cause no symptoms ovarian cancer ultrasound. Often they cause no symptoms.